본문 바로가기
반응형

글목록 전체보기12957

한글이는 요술쟁이 - 엄마와 떠나는 동화 속 한글여행 도서 서평 이제 막 한글을 배우려는 아이들에게 추천할만한 그림책입니다. 한글이가 요술쟁이가 되고 싶은것이 소원인데,한글지도에서 글자를 모으면 요술쟁이가 될수 있다는 말에동생 별이와 함께 떠나는 여행에서, 자음인 ㄱㄴㄷㄹㅁㅂㅅㅇㅈㅊㅋㅌㅍㅎ과 모음인 ㅏㅑㅓㅕㅗㅛㅜㅠ 등을 찾아나서고, 자음과 모음을 합쳐서 글자를 만들수 있다는것을 그림책속에서 이야기를 통해서 배울수 있는 계기를 만들어 주는 책입니다. 처음 접하는 아이들에게 쉽게 자음 모음을 접하게 해줄수 있고, 자음과 모음이 합쳐져서 글자를 만들수 있다는것을 재미있게 알려줄수 있습니다. http://cafe.daum.net/ishangeul 위 사이트에 가면 책과 관련된 다양한 한글자료들이 회원가입 없이도 볼수가 있는데,책의 다음단계의 자료들도 꽤많아서 책을 본후에다음.. 2010. 4. 6.
다음 메인과 Daum View 베스트 종합 1위 등극 별로 큰 기대나 생각을 안하고 Daum View에 올렸던 글이 베스트에 선정이 되더니, 갑자기 엄청난 트래픽이 유발... 뭔가 했더니 다음메인에 등록되었는데, 거기다가 글이 좀 뜸하게 올라오는 주말이라서 그런지 일요일 오후부터 월요일 오전까지 다음메인에 등록(평일에는 보통 3-4시간 정도) 조회수만 무려 7만건이 넘고, 댓글이 대략 50여개... 계속 올라오는 댓글 달기에도 힘들었다는...-_-;; 거기다가 다음뷰 메인 하단에도 올라와있고, VIEW 베스트 종합부분에서도 1위를 차지... 대략 2번정도 이런 경험을 했는데, 기분이 좋기도 하지만, 수많은 댓글에 정신이 없기도 하고, 포스팅을 한 의도와는 다른 댓글들 때문에 짜증이 좀 나기도...-_-;; 근데 참 희안한것이, 이건 정말 베스트에 오를꺼야 .. 2010. 4. 5.
가슴 뛰는 상상을 즐겨라 도서 서평 - 이미지트레이닝, 당신이 상상한 이미지는 곧 현실이 된다 이미지트레이닝과 관련된 도서인데, 스토리텔링을 가미해서 이미지트레이닝을 물론이고, 성공과 삶에 대해서 이야기를 해주는 책 주인공이 마작을 하는곳에서 한 남자를 만나게 되면서 그에게서 스승이자 멘토처럼 삶에 대한 조언과 함께 이미지트레이닝을 하는 방법과 효과 등을 배우게 된다는 스토리... 이미지트레이닝에 관한 책이라기 보다는, 왠지 자기개발 독서인데 자기최면 분야를 유독 강조한 느낌이 들기도 한다. 이미지트레이닝 CD를 수록해서 실전적으로 연습을 해볼수도 있도록 돕는데, 아주 전문적인 내용이라기보다는 이미지트레이닝을 처음으로 접하는 사람이라면 많은 도움이 될수도 있는듯 하고, 성공만이 아니라, 자신감, 대인관계, 두려움, 직감, 금전운, 애정, 자기치유력 등 다양한 방면의 이미지트레이닝을 다루는데, 뭐 .. 2010. 4. 5.
MLB.com 메이저리그 라이브 방송 생방송 맛보기 드디어 메이저리그가 개막을 했고, 아메리칸리그 첫게임은 보스턴 펜웨이 파크(Fenway Park)에서 뉴욕양키스와 보스턴 레드삭스의 경기로 시작을 하고 있습니다. 첫경기에서 박찬호 선수의 선전을 볼수 있을지 기대가 되네요... http://mlb.mlb.com/mlb/scoreboard/index.jsp#date=04/04/2010 위 사이트에 들어가서 Watch on MLB.TV를 클릭하면 위와 같은 화면이 잠깐 나옵니다... 단 10초 정도만...-_-;; 그리고 다음과 같은 로그인 창이 100초동안 떠있어서 시청을 방해합니다...-_-;; 그리고 100초가 지나면 위와 같은 화면이 나와서 끝이 납니다... 근데 또 처음부터 다시 하면 위와 같은 내용을 반복하더군요...-_-;; 박찬호 선수가 나올때.. 2010. 4. 5.
세상에서 가장 아름다운 이별 : 노희경 단막 대본집 노희경 드라마 대본 시리즈 도서 서평 리뷰 최근에 노희경씨의 드라마 대본 시리즈가 연이어 출판이 되고 있네요... 노희경씨 드라마 팬이거나 드라마 작가 지망생에게는 반가운 소식이 아닐까 싶습니다. 어머니에 대한 애정과 사랑을 듬뿍담은 서문을 비롯해서 세상에서 가장 아름다운 이별, 유행가가 되리, 슬픈 유혹, 세리와 수지 등 4편의 드라마 대본 시나리오와 기획의도, 줄거리와 등장인물 소개 등까지 자세하게 되어있는 책입니다. 드라마는 찾아 보았는데 좀 오래된 드라마라서 그런지 찾아봐도 안보이더군요. 그래도 드라마를 보지 않고, 책을 통해서 드라마를 보는것처럼 보니 소설처럼 상상의 나래를 펼칠수도 있고, 나름대로의 재미와 감동이 느껴집니다. 학교때 배웠던 FI, FO, OL 등의 방송용어도 함께 기입되어있어서 상상에 방해가 되는듯하면서도, 왠지 방송장.. 2010. 4. 5.
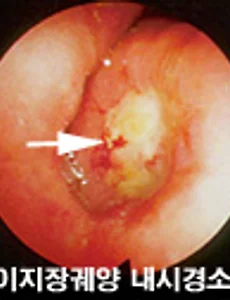
만성 십이지장 궤양 구부 변형 치료 및 예방 방법 어머니가 의료보험에 실시한 위암 검진을 받았는데, 만성 십이지장 궤양 구부 변형으로 의사와 상담을 요망한다고 해서 무슨 질환인가 하고 찾아봄... 십이지장에 발생하는 궤양. 호발부위(好發部位)는 위의 출구인 유문부(幽門部)에서 십이지장으로 이행하는 기발부(起發部)인 십이지장구부(球部)이다. 위궤양과 함께 소화성 궤양이라고 하며, 위궤양의 경우보다 젊어, 20대에서 흔히 볼 수 있고 특히 남자에게 많다. 궤양은 깔대기 모양이며, 그 선단은 외측, 즉 장막면(漿膜面)을 향하여 깊이 침식한다. 원인은 위궤양과 마찬가지로 여러 가지 인자가 고려되고 있다. 증세는 동통이며, 이것은 상복부의 정중선(正中線) 오른쪽에 여러 정도의 통증을 느끼며, 오른쪽 견갑부(肩甲部)나 오른쪽 하지로 자주 방산한다. 공복통이 많다... 2010. 4. 5.
반응형